Accessoire botjes

Men dacht dat deze accessoire botjes zeldzaam waren. Maar uit een recent radiologisch onderzoek werd bij 36% van de onderzochte mensen wel een accessoire botje gevonden. Meestal veroorzaken deze botjes geen problemen en weet je niet eens dat je er een bezit. Soms kunnen ze leiden tot pijn in de voet of enkel.

Hoe ontstaat een accessoire botje?

Bij geboorte bestaan onze botten voornamelijk uit kraakbeen. Tijdens de eerste jaren van ons leven verandert het kraakbeen in bot. Bij de meeste botjes in de voet begint dit proces aan 2 kanten, vervolgens groeit het bot naar elkaar toe en wordt het uiteindelijk één geheel. Soms gaat er wat mis in dit proces, het bot groeit niet aan elkaar en een accessoire botje is ontstaan. Een dergelijk accessoire botje kan op verschillende plekken in de voet voorkomen.

De volgende accessoire botjes komen het meest voor:

  • Accessoir os naviculare: deze bevindt zich aan de binnenkant van de voet.
  • Os trigonum: deze bevindt zich aan de achterzijde van de voet.
  • Os peroneum: deze bevindt zich aan de buitenkant van de voet.

Inmiddels zijn er bijna 40 accessoire botjes in de voet omschreven in de literatuur.

Oorzaken en klachten van een accessoire botje

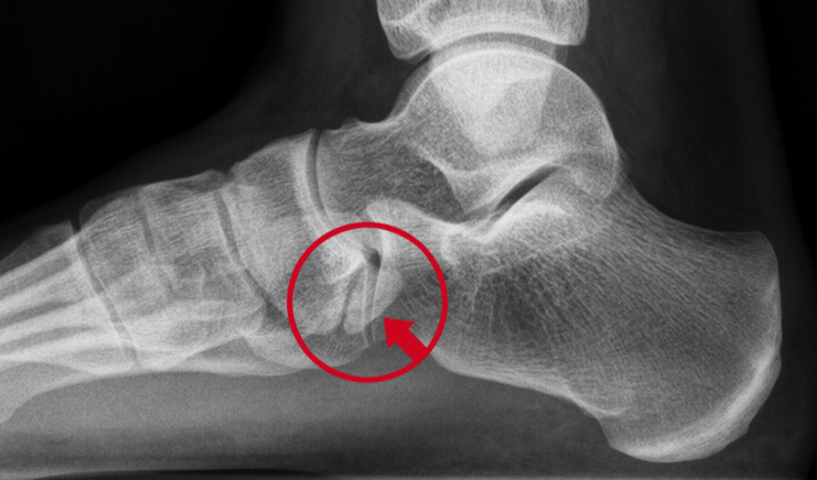
Os naviculare

Is het een groot accessoir os naviculare, dan kan er een bult zichtbaar zijn aan de binnenkant van de voet.

Os naviculare

Röntgenfoto van een accessoir os naviculare.

Dit kan hinderlijk zijn bij het dragen van schoenen. Verder kunnen er ook klachten ontstaan als het kraakbeen (of bindweefsel) tussen het accessoir os naviculare en het os naviculare (= scheepvormigbeen) beschadigd raakt. Dit geeft vooral klachten tijdens belasting van de voet. Vaak ontstaan er ook klachten door overbelasting, hierbij kun je denken aan overdruk door een foutieve voetstand.

Os trigonum

Deze bevindt zich aan de achterzijde van de voet.

Os trigonum

Röntgenfoto van een os trigonum.

Het os trigonum geeft vaak klachten bij dansers en atleten. Het botje veroorzaakt irritatie (inklemming) van de weke delen aan de achterzijde van de voet, als de tenen helemaal naar beneden wijzen. Denk maar eens aan het dansen op spitzen.

Os peroneum

Het os peroneum bevindt zich aan de buitenkant van de voet. Ook dit botje kan problemen geven bij het dragen van schoenen, vooral als het om te smalle schoenen gaat. Het geeft pijn aan de buitenkant van de voet. Een verkeerde voetstand waarbij er teveel van de peroneuspees wordt gevraagd kan ook een oorzaak zijn.

Breuk?

Overigens worden de bovenstaande accessoire botjes die klachten veroorzaken, nog wel eens aangezien voor een breukje.

Vind een praktijk

Heeft u voetklachten door een accessoire botje? Onze Podozorgers staan voor u klaar! Klik op de onderstaande knop en vind een Podozorger bij u in de buurt.

Vind een praktijk

Over de auteur

Dit artikel is mede mogelijk gemaakt door Podozorg Nederland. Deze groep gelijkgestemde podologen willen samen maar één ding: de allerbeste zijn in hun vak. Dat kan alleen bereikt worden als we blijven leren en ontdekken. Daarom delen zij hun kennis middels deze publicaties.

Wordt uw behandeling vergoed?

Bij de meeste zorgverzekeraars betaalt u aan de (register) podoloog alleen de eventuele eigen bijdrage. Wordt uw behandeling volledig vergoed, dan betaalt u natuurlijk helemaal niets. U hoeft de behandeling dan ook niet voor te schieten, uw (register) podoloog declareert rechtstreeks bij uw zorgverzekeraar.

Lees meer over vergoedingen

Onze patiënten aan het woord

Lees alle ervaringen

arrow_circle_left
  • format_quote

    Ervaring van Clasina

    “Podozorg Nieuwpoort reageerde snel op mijn mail en we konden ook vlug terecht voor een afspraak. De nieuwe zooltjes lopen fijn en we zijn dan ook heel tevreden.”

  • format_quote

    Ervaring van Nancy

    “Mijn dochter was meteen gewend aan de steunzolen, draagt de zolen elke dag en heeft ook geen last meer van haar achillespees.”

  • format_quote

    Ervaring van Joyce

    “Bij Podozorg werd ik goed en deskundig geholpen. Vooraf werd een duidelijke analyse gemaakt van het klachtenbeeld.”

  • format_quote

    Ervaring van Marieke

    “Duidelijk overleg over de doelen en voortgang van de behandeling. Er wordt verder gekeken dan de klachten om onderliggende oorzaken te achterhalen.”

  • format_quote

    Ervaring van Hulya

    “Na ongeveer twee maanden werd mijn pijn veel minder. Ik kan nu om de dag ongeveer 13 km lopen!”

arrow_circle_right

Heeft u last van pijnlijke voeten?

Heeft u last van pijn of andere klachten bij het lopen of staan? U bent niet de enige!

In onze Podozorg praktijken doen we dagelijks ervaring en kennis op over een groot aantal voetklachten. Deze kennis en ervaring hebben we gebundeld en voor u beschikbaar gesteld.

Alles over voetklachten

Recente publicaties

  • Pijn onder de voorvoet

  • Hielspoor

  • Beknelde zenuw in de voorvoet

  • Kromme stand van de teen

  • Pijnlijke achillespees

  • Bult bij de kleine teen

Recente publicaties

  • 20 november 2025

    Stressfractuur van het os naviculare bij sporters

    Een stressfractuur van het os naviculare veroorzaakt hardnekkige pijn in de middenvoet en kan sporters langdurig beperken door de lastige diagnose en trage genezing.

    Door Erica Last

  • 06 november 2025

    Helpen steunzolen echt bij hielpijn?

    Steunzolen kunnen hielpijn verlichten, vooral bij een afwijkende voetstand. De effectiviteit hangt af van de oorzaak, belasting en het looppatroon.

    Door Peter van Dasselaar

  • 14 oktober 2025

    Zijn barefootschoenen geschikt voor de ouder wordende mens?

    De barefootschoen wordt steeds populairder, ook bij ouderen. Maar is het wel verstandig om op deze schoenen op latere leeftijd te gaan wandelen?

    Door Jacqueline Lakeman

  • 07 augustus 2025

    Multidisciplinaire zorg kijkt verder

    Multidisciplinaire samenwerking helpt bij het effectief behandelen van voetklachten en gerelateerde problemen door inzet van diverse zorgverleners.

    Door Frank Henzen

  • 22 juli 2025

    Platvoeten bij kinderen

    Platvoeten bij kinderen zijn meestal onschuldig, maar soms reden voor onderzoek. Herken signalen die kunnen wijzen op een afwijkende ontwikkeling.

    Door Mienke van der Goot

  • 03 juli 2025

    De juiste behandeling voor voetklachten

    Echografisch onderzoek helpt bij het vinden van de oorzaak van voetklachten en leidt tot een gerichte, effectieve behandeling op maat.

    Door Lisette de Graauw